
Februárban már több, mint 800 Idegsebészeti és Neurointervenciós Klinikáról származó mintát tudhatunk az OnkoBank archivált szövetgyűjteményében. Az említett klinikáról malignus daganatok mellett nagy számban gyűjtünk benignus, ámbár életet veszélyeztethető daganatokat is. A leggyakrabban kapott ilyen mintánk meningeoma-kból származnak.
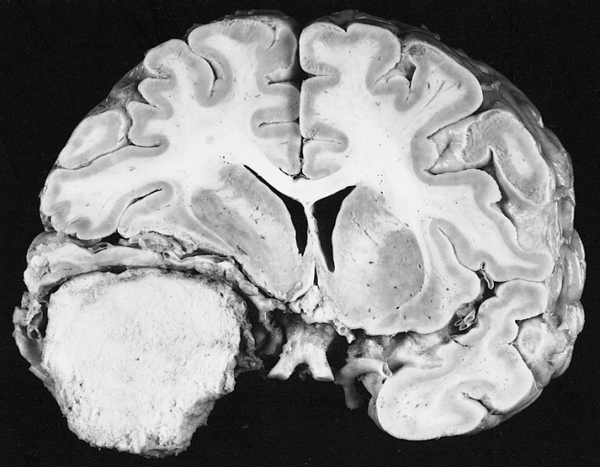
A meningeoma egy olyan daganat, amely az agyat körülvevő és védő háromrétegű szövetben, az úgynevezett meninge-ben (agyhártya) alakulhat ki a meningeális sejtek felszaporodásának következtében. Lassan növekvő, többnyire jóindulatú elváltozás, amely sok esetben csak megfigyelést igényel, azonban a bonyolult szövettani felépítésű vagy veszélyeztető helyen elhelyezkedő meningeomák esetében műtétre vagy a gamma-késes kezelésre lehet szükség.
A meningeoma az intracranialis (agyban lévő) daganatok leggyakoribb típusa, a központi idegrendszeri daganatok több, mint egyharmad részét teszi ki. Kialakulásának kockázata az életkor előrehaladtával emelkedik, a betegek átlagos életkora a diagnózis idején megközelítőleg 66 év. Gyermek- és fiatal felnőttkorban a meningeoma előfordulása ritka, az elváltozás nőknél gyakrabban fordul elő, mint férfiaknál.
A daganat súlyosságának szempontjából három fokozatot különítünk el:
I. fokozat (benignus meningeoma): Jóindulatú daganat, melyet lassú növekedés és kedvező lefolyás jellemez. Ez fordul elő a leggyakrabban (az esetek 80-90%-ában) és itt a legalacsonyabb a kiújulás kockázata.
II. fokozat (atípusos meningeoma): Jóindulatú daganat, melyet aktívabb növekedés és nagyobb kiújulási kockázat jellemez. Szigorúbb ellenőrzést, bizonyos esetekben pedig kiegészítő terápiát (sugárterápia) igényel.
III. fokozat (anaplasztikus vagy malignus meningeoma): Rosszindulatú daganat, melyet agresszív növekedés, magas kiújulási kockázat és jelentős anaplázia jellemez. Nagyobb valószínűségű az áttétképződés, így agresszív kezelést és hosszútávú megfigyelést igényel.

A meningeoma tünetei nagymértékben függnek a daganat méretétől, növekedési ütemétől és elhelyezkedéséről. A kisebb daganatok gyakran hosszú ideig tünetmentesek és véletlenül, más okból végzett képalkotó vizsgálat során derülnek ki. Nagyobb vagy kedvezőtlen elhelyezkedésű meningeomák esetén az alábbi panaszok jelentkezhetnek:
tartós vagy fokozódó fejfájás
látás- vagy hallászavar
egyensúlyproblémák vagy járási nehézségek
végtaggyengeség, zsibbadás a karban vagy lábban
beszéd- vagy memóriazavar
A diagnózis felállításának alapját képezik a képalkotó vizsgálatok, elsősorban például az MRI, amely pontos képet ad a daganat elhelyezkedéséről és kiterjedéséről.
